Sår i Syd
Om os
Om Sår i Syd
Styregruppens medlemmer
Billedgalleri
Sårbehandling
Diagnose
Tanker når man ser et sår
Hvad kan man i primærsektoren?
Praktiserende læges rolle
Sårsygeplejerskens rolle
Fodterapeutens rolle
Aftaler med patienten
Undersøgelser
Undersøgelsestyper
Distal blodtryksmåling
Neuropati
Biopsi og podning
Podning og antibiotika
Sårtyper
Tryksår
Siddesår
Specielle sår
Hud tumorer
Traumesår
Brandsår
Arterielle sår
Diabetiske fodsår
Venøse bensår
Lymfatisk betingede sår
Pilonidalcyste sår
Urinsyregigt sår
Sårhelingsfaser
Behandling
Sårbehandling
Fugtig sårheling
Debridering
Aflastning af diabetiske fodsår
Kompressionsbehandling
Anlæggelse af kompressionsbind
Produkter
Den omliggende hud
Smerter
Specielle behandlinger
VAC
Larver
Video med larvebehandling
IPC
Tetanusprofylakse
Hypertrofiske granulationer
Artikler
Pilonidalcyster og sår
Kræftsår
Diverse artikler
Venøse bensår
Kompression
Diabetes fodsår
Tryksår
Arterielle sår
Hjemmesider
Min kommune
Kommunerne
Åbenrå
Tønder
Haderslev
Sønderborg
Aktiviteter
Kommende aktiviteter
Præsentationer fra temadage
Kontakt
Forside
Billedgalleri
Vis alle
Sår, sår, sår ………
Sårfaser
Huden
Arteriosclerotiske sår
Venøse bensår
Blandingssår
Bandagering
Varicer
Diabetiske fodsår
Wagnerstadier
Fodtøj
Charcot
Tryksår
Immunologiske sår
Sjældne sårtyper
Lymfødem
Andre specialiteter
Apparatur
Tumores
Filter projects
Vis alle
Sår, sår, sår ………
Sårfaser
Huden
Arteriosclerotiske sår
Venøse bensår
Blandingssår
Bandagering
Varicer
Diabetiske fodsår
Wagnerstadier
Fodtøj
Charcot
Tryksår
Immunologiske sår
Sjældne sårtyper
Lymfødem
Andre specialiteter
Apparatur
Tumores
Zoom
Buerger
Zoom
Buerger-1
Zoom
Buerger-2
Zoom
Erysipilas
Zoom
Kjelb. obs vask. 2
Zoom
Vaskul
Zoom
tågangr.3
Zoom
Sår med klinisk infe...
Zoom
Sår med pseudomonas ...
Zoom
Sår med pseudomonas ...
Zoom
Sår med pseudomonas ...
Zoom
Sår med laver per vi...
Zoom
Nekrose i cicatrice ...
Zoom
Sår på 1. tå efter t...
Zoom
Sår med blottet sene
Zoom
Sår – fistel til dyb...
Zoom
Sår på amputationsst...
Zoom
Maseration
Zoom
Lipodermatosclerose
Zoom
Atrophia blanche
Zoom
Sort nekrose
Zoom
Gul nekrose og kaliu...
Zoom
Rødt sår med granula...
Zoom
Sår med fibrinbelægn...
Zoom
Sår i mange faser
Zoom
Den omliggende hud e...
Zoom
Huden savner fugt og...
Zoom
Sår med reaktion på ...
Zoom
Hudreaktion
Zoom
Hudreaktion
Zoom
Staseeksem
Zoom
Hæmosiderin aflejrin...
Zoom
Irritativt ekcem - a...
Zoom
Lappeprøver
Zoom
Lappeprøve
Zoom
Tør skællende hud
Zoom
Tør skællende hud
Zoom
Tørt tågangræn
Zoom
Tørt tågangræn
Zoom
Tørt tågangræn, bemæ...
Zoom
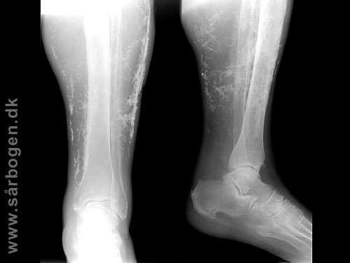
Arteriosclerotisk så...
Zoom
Begyndende fugtigt g...
Zoom
Tørt tågangræn under...
Zoom
Efter autoamputation...
Zoom
Iskæmisk sår
Zoom
Iskæmisk sår
Zoom
Iskæmisk sår
Zoom
Nekrose på 1. tå
Zoom
Venøst bensår, genne...
Zoom
Venøst bensår
Zoom
Venøst sår, med hype...
Zoom
Venøst bensår i ophe...
Zoom
Venøst bensår
Zoom
Venøst bensår
Zoom
Venøst bensår
Zoom
Venøst bensår med fi...
Zoom
Venøst bensår
Zoom
Venøst sår
Zoom
Teleangiectasier
Zoom
Hæmosiderin og atrop...
Zoom
Atrophie blanche
Zoom
Venøst bensår
Zoom
Venøst bensår
Zoom
Blandet arteriel/ven...
Zoom
Blandet arteriel/ven...
Zoom
Blandet arteriel/ven...
Zoom
Bandagen har ligget ...
Zoom
Den er helt gal !
Zoom
Pelotte bag mediale ...
Zoom
Kompressionbandage
Zoom
Zinklimbind
Zoom
Primære, asymptomati...
Zoom
Magnavaricer
Zoom
Åreknuder
Zoom
Neuropatisk plantart...
Zoom
Neuropatisk sår i pl...
Zoom
Neuropatisk sår i op...
Zoom
Neuropatisk sår i op...
Zoom
Wagner stadie 4
Zoom
Hælfissurer, stadie ...
Zoom
Diabetisk fodsår sta...
Zoom
Diabetisk fodsår sta...
Zoom
Diabetisk fodsår, st...
Zoom
Neuropatisk sår stad...
Zoom
Diabetisk fodsår sta...
Zoom
Tekstilsandal
Zoom
Aircast Walker støvl...
Zoom
Hælsko
Zoom
Terapisandal
Zoom
Anthrazit sandal
Zoom
Gængesandal
Zoom
Hallux Valgus sandal
Zoom
Sladresål
Zoom
Anthrazit sandal
Zoom
Bøjlebehandling af n...
Zoom
Sår på tæerne
Zoom
Ortheser
Zoom
Undgå ringformede af...
Zoom
Skoen passer ikke
Zoom
Skoen passer ikke
Zoom
Skoen passer ikke, s...
Zoom
Den diabetiske fod s...
Zoom
Fremmedlegeme i skoe...
Zoom
De trykudsatte stede...
Zoom
Efter tåamputation
Zoom
Charcot i mellemfod
Zoom
Charcot i mellemfod
Zoom
Charcot i mellemfod ...
Zoom
Charcot i ankel
Zoom
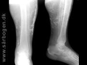
Charcot i ankel (rtg...
Zoom
Fugtig hælnekrose
Zoom
Hælnekrose
Zoom
Hælnekrose
Zoom
Vaskulitis 1
Zoom
Vaskulitis 2
Zoom
Vaskulitis 3
Zoom
Rheumatoidt sår
Zoom
Aggressiv vasculitis
Zoom
Lichen ruber bullosu...
Zoom
Ved myeloproliferati...
Zoom
Nekrobiosis lipoidic...
Zoom
Sår udviklet efter h...
Zoom
OBS malignitet
Zoom
Leukæmiske ”sår”
Zoom
Leukæmiske ”sår”
Zoom
Sår som følge af Hyd...
Zoom
Delhudstransplantat ...
Zoom
Delhudstransplantat ...
Zoom
Ulcererende mammacan...
Zoom
Højresidigt lymfødem
Zoom
Sår i lymfødem foran...
Zoom
Lymfødemsår
Zoom
Lymfødemsår
Zoom
Lymfødem i sårkant
Zoom
Lymfødem
Zoom
Før PTA af iliacakar...
Zoom
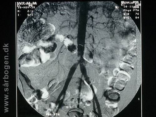
Under PTA af iliacak...
Zoom
Efter PTA af iliacak...
Zoom
Såret i den subcutan...
Zoom
Område med subcutan ...
Zoom
Subcutane Kalcifikat...
Zoom
Klippel-Trenaunay
Zoom
Røde bade
Zoom
Elefanthiasis
Zoom
Udstyr til dopplertr...
Zoom
Dopplertrykmåling i ...
Zoom
Dopplertrykmåling i ...
Zoom
Kurver fra trykmålin...
Zoom
Tåtryks måling med s...
Zoom
Tåtryks måling med s...
Zoom
Apparatur til unders...
Zoom
Vælg den kniv, der p...
Zoom
obs melanom